- Les particularités anatomiques et biomécaniques de l’os en croissance
- 1. La croissance en longueur des os longs est assurée par les cartilages de croissance
- 2. La croissance en diamètre de l’os est assurée par le périoste
- 3. Le tissu osseux de l’enfant a des caractéristiques biomécaniques spécifiques
- Les fractures qui n’ont pas besoin du chirurgien
- Les fractures qui nécessitent une immobilisation plâtrée avec ou sans réduction orthopédique
- 1. La mise en place d’une immobilisation plâtrée impose des précautions particulières et une surveillance stricte
- 2. Déplacement de la fracture sous plâtre
- 3. Autres soucis dus au plâtre
- 4. L’ablation du plâtre
- 5. La prise en charge de la douleur
- 6. La prescription d’une anticoagulation préventive
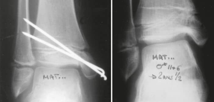
- Les fractures qui nécessitent un abord chirurgical
- Rééducation ? Reprise des activités sportives ?
- Les fractures révélatrices d’une pathologie sous-jacente
- 1. Fracture et maltraitance
- 2. Fragilités osseuses constitutionnelles
- 3. Carence alimentaire
- 4. Fractures pathologiques
- La surveillance à long terme : dépistage[...]
Connectez-vous pour consulter l'article dans son intégralité.
Vous êtes abonné(e)
IDENTIFIEZ-VOUS
Pas encore abonné(e)
INSCRIVEZ-VOUS
Inscrivez-vous gratuitement et profitez de tous les sites du groupe Performances Médicales
S'inscrire
