- Epidémiologie
- Classification des traumatismes oculaires
- Les traumatismes à globe fermé
- Les traumatismes à globe ouvert
- Les brûlures
- Les traumatismes palpébraux et des voies lacrymales
- Les traumatismes orbitaires
- Le syndrome du bébé secoué
- Les traumatismes obstétricaux
- La prise en charge globale d’un enfant traumatisé
- Conclusion
Les traumatismes oculaires sont variés et peuvent entraîner des baisses de vision définitives importantes. Dans la population pédiatrique, principalement avant l’âge de 6 ans, le risque d’amblyopie peut encore réduire le pronostic visuel. [1] On peut séparer les traumatismes oculaires à globe fermé des traumatismes oculaires à globe ouvert (par perforation ou par rupture), plus rares mais au pronostic beaucoup plus sévère. En pédiatrie, il existe aussi des traumatismes très particuliers que sont le syndrome du bébé secoué d’une part, et les traumatismes liés à l’accouchement d’autre part dont nous reparlerons.
Epidémiologie
On retrouve dans la littérature de nombreuses données épidémiologiques à propos des traumatismes oculaires pédiatriques. Récemment, une étude prospective a été réalisée dans un centre d’urgence d’Ile-de-France par J. Mayouego Kouam. Parmi les 586 enfants de 6 mois à 15 ans reçus consécutivement sur une période de 6 mois, 45,22 % ont consulté pour un traumatisme. Il s’agissait principalement de garçons (sex ratio : 1,6/1), le traumatisme avait principalement lieu à leur domicile ou à l’école et les principales lésions retrouvées étaient cornéennes, majoritairement par coup d’ongle [2].
Classification des traumatismes oculaires
Le tableau I présente les mécanismes et les caractéristiques des traumatismes oculaires de l’enfant [3].
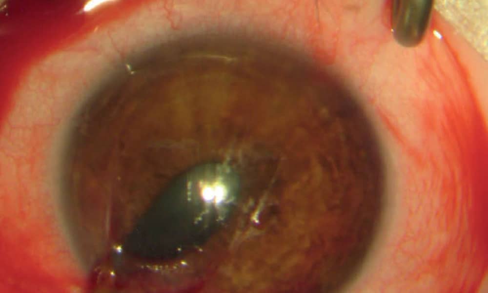
Les traumatismes à globe fermé
Les traumatismes[...]
Connectez-vous pour consulter l'article dans son intégralité.
Vous êtes abonné(e)
IDENTIFIEZ-VOUS
Pas encore abonné(e)
INSCRIVEZ-VOUS
Inscrivez-vous gratuitement et profitez de tous les sites du groupe Performances Médicales
S'inscrire
